上下顎前突 10歳8ヶ月 男の子
10歳8ヶ月 男子
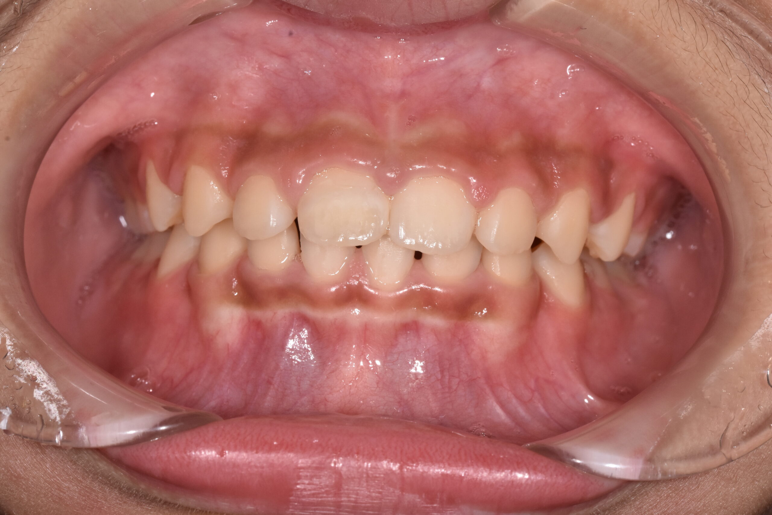
治療前

治療後

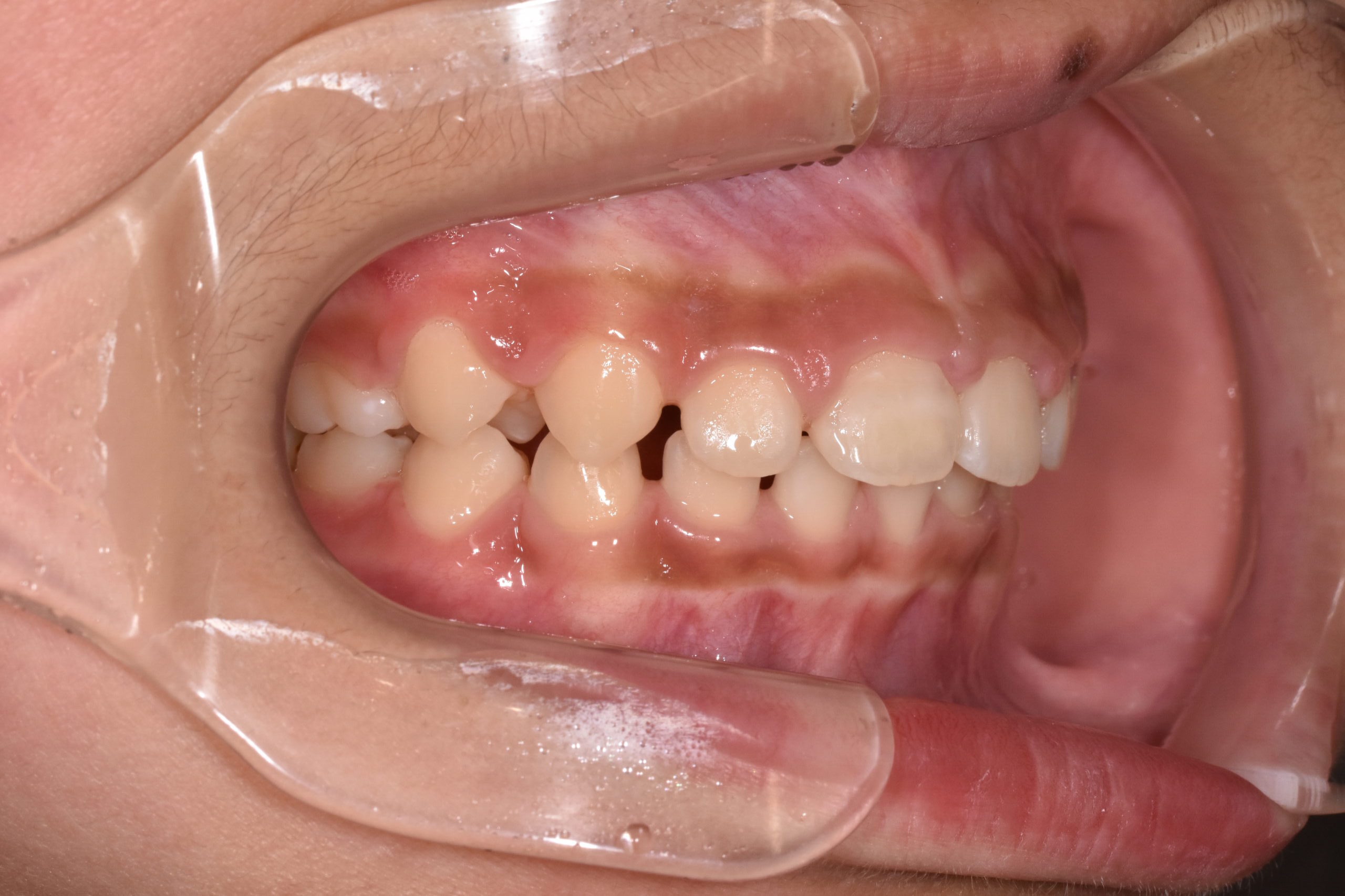
治療前

治療後

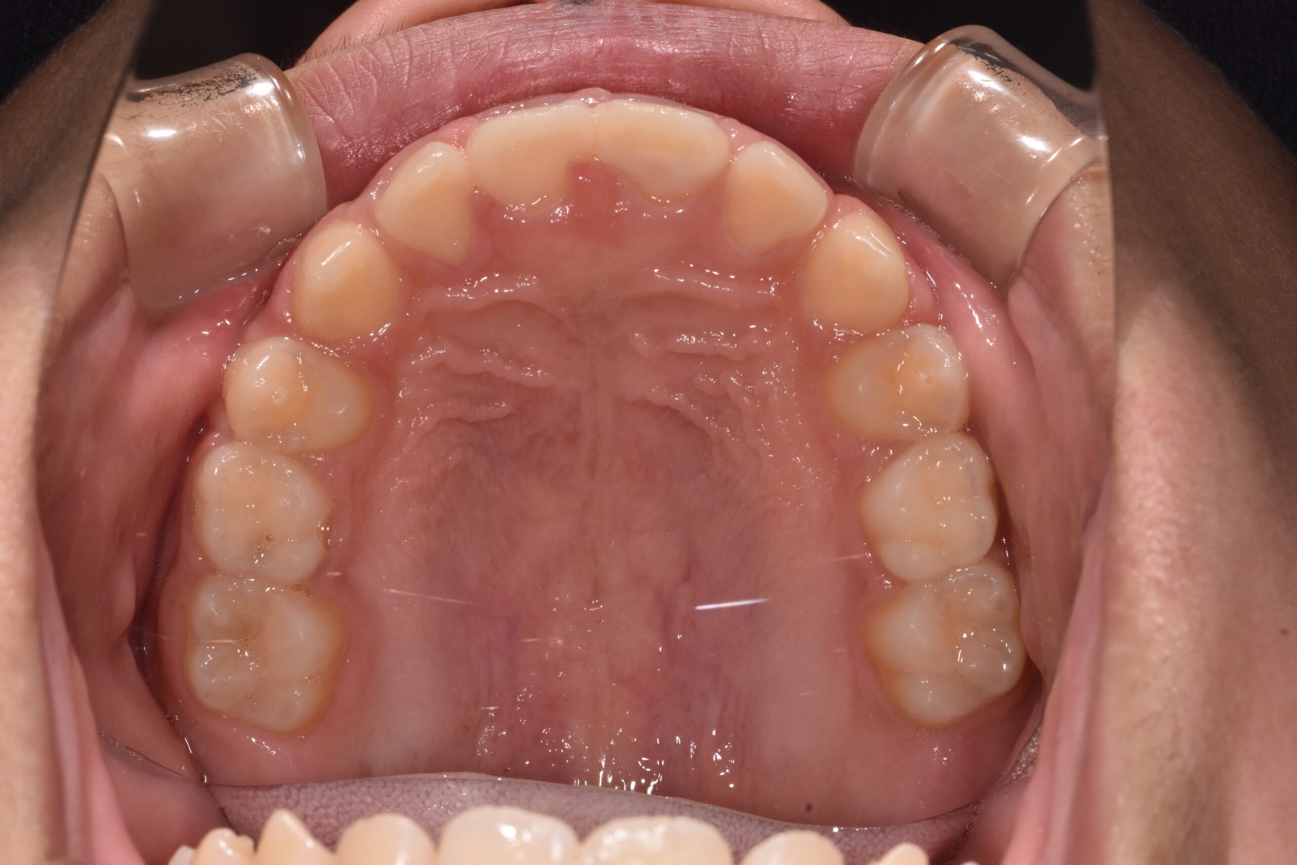
治療前

治療後

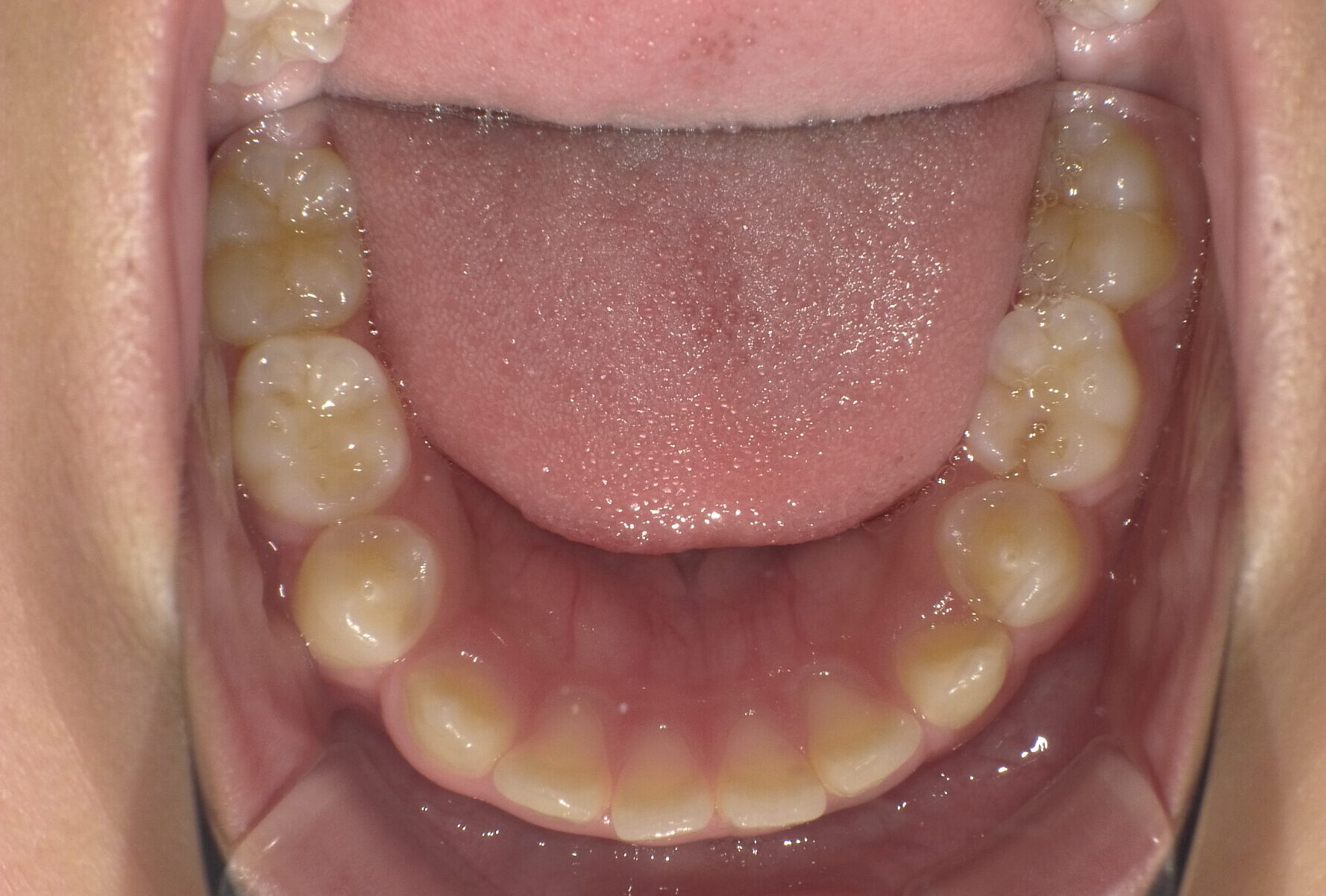
治療前

治療後

治療前

治療後

治療期間
1年5ヶ月
通院回数
15回
治療費
約48万円
想定される副作用またはリスク
・治療中に歯の痛みや違和感が出ることがあります
・歯ぐきが下がる(歯肉退縮)可能性があります
・歯の根が短くなる(歯根吸収)可能性があります
・装置の使用状況により、治療結果や期間に影響が出ることがあります
・虫歯や歯周病のリスクが高まる場合があります(ケア不足の場合)
・かみ合わせが一時的に変化し、違和感を感じることがあります
・成長の個人差により、予測通りに改善しないことがあります
・将来的に2期治療(本格矯正)が必要になる場合があります
・治療後に後戻りする可能性があります
・歯ぐきが下がる(歯肉退縮)可能性があります
・歯の根が短くなる(歯根吸収)可能性があります
・装置の使用状況により、治療結果や期間に影響が出ることがあります
・虫歯や歯周病のリスクが高まる場合があります(ケア不足の場合)
・かみ合わせが一時的に変化し、違和感を感じることがあります
・成長の個人差により、予測通りに改善しないことがあります
・将来的に2期治療(本格矯正)が必要になる場合があります
・治療後に後戻りする可能性があります
お悩み:
口元の突出感(前歯が出ている)と見た目の改善
状態:
骨格:上下あごともに前方に出やすい傾向(上下顎前突)
歯並び:前歯の前方への突出(出っ歯傾向)
治療方法:
成長を利用した1期治療にて、マウスピース型装置や矯正装置を用い、歯並びと口元のバランスの改善を行いました
治療期間:
1年5ヶ月
通院回数:
15回
費用:
約48万円
治療のポイント:
・成長期を活かし、口元の突出感を改善
・歯並びだけでなく、横顔(Eライン)にも配慮
・将来的な抜歯や本格矯正の負担軽減を目指した治療
・必要に応じて2期治療へ移行できるよう設計