
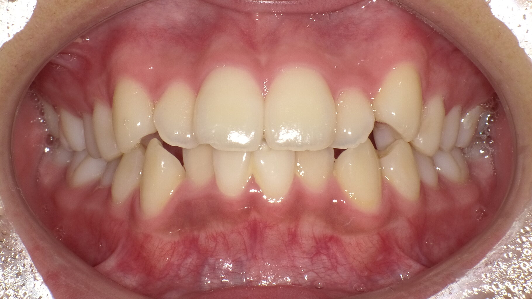
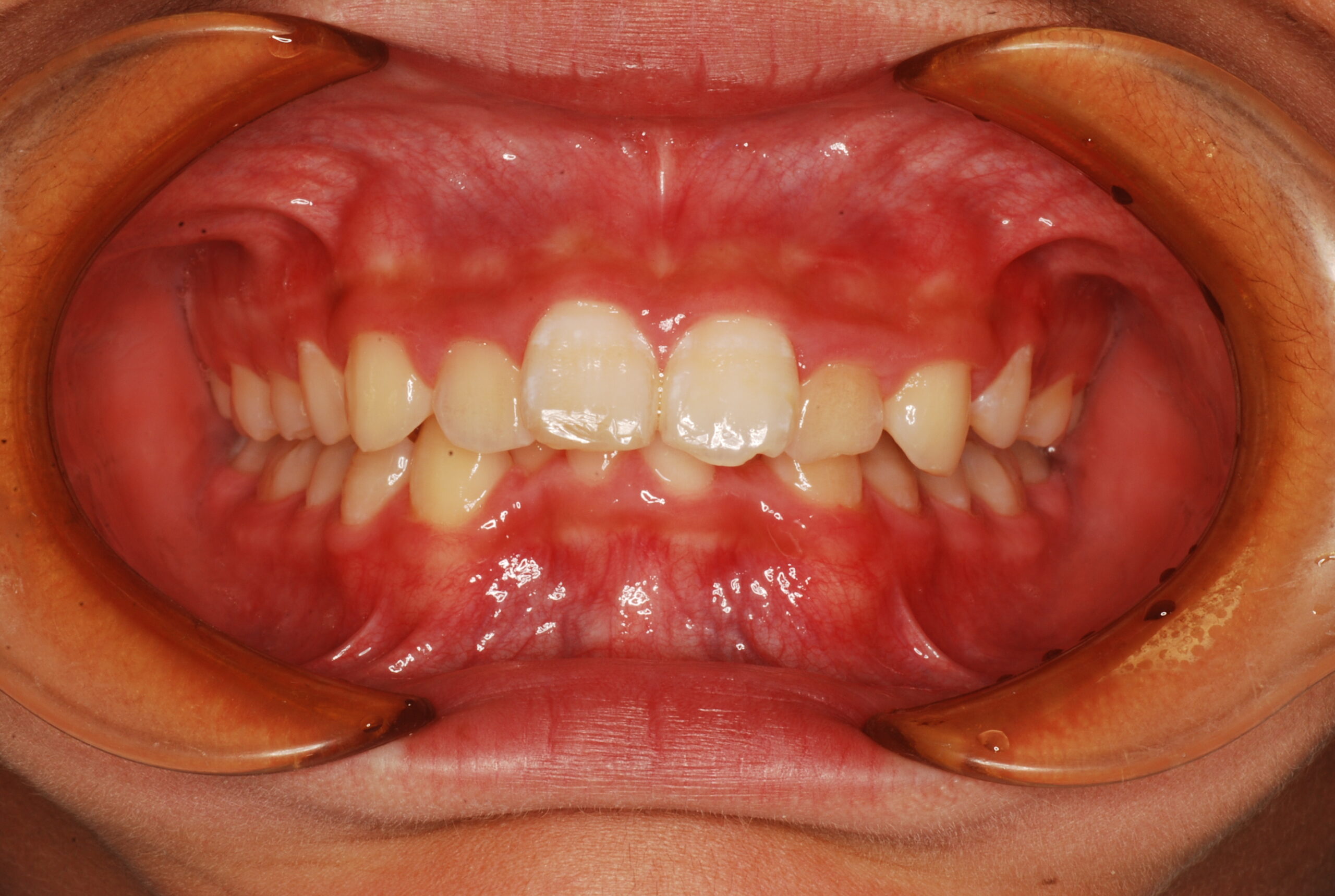
21歳 女性 上顎前突
上顎前突 出っ歯お悩み:前歯の突出感(出っ歯)と口元の改善 状態:骨格:上あごが前方に出やすい傾向(上顎前突)歯並び:前歯の突出と歯列不正を認める状態 治療方法:上顎左右第1小臼歯(4番)および左下第1小臼歯(4番)を抜歯し、ワイヤー矯 […]

お悩み:前歯の突出感(出っ歯)と口元の改善 状態:骨格:上あごが前方に出やすい傾向(上顎前突)歯並び:前歯の突出と歯列不正を認める状態 治療方法:上顎左右第1小臼歯(4番)および左下第1小臼歯(4番)を抜歯し、ワイヤー矯 […]

お悩み:歯並びのガタつきと見た目の改善 状態:骨格:大きな骨格的不調和はなし歯並び:上下の歯にガタつき(叢生)を認める状態 治療方法:上下左右の第1小臼歯(4番)を抜歯し、ワイヤー矯正(マルチブラケット装置)にて歯並びと […]

お悩み:口元の突出感(前歯が出ている)と歯並びのガタつき 骨格:上下あごともに前方に出やすい傾向(上下顎前突)歯並び:叢生(歯のガタつき)+前歯の突出 治療方法:上下左右の第1小臼歯(4番)を抜歯し、ワイヤー矯正(マルチ […]

お悩み:口元の突出感(前歯が出ている)と見た目の改善 状態:骨格:上下あごともに前方に出やすい傾向(上下顎前突)歯並び:前歯の前方への突出(出っ歯傾向) 治療方法:成長を利用した1期治療にて、マウスピース型装置や矯正装置 […]

年齢:6歳7ヶ月 女の子 お悩み:前歯が逆に噛んでいる(受け口) 状態:骨格:受け口傾向(下あごが前に出やすい状態)歯並び:前歯のかみ合わせが逆(反対咬合) 治療方法:プレオルソ(機能的マウスピース型装置)を使用し、歯並 […]

お悩み:前歯が噛み合わず、食べ物が噛みにくい 状態:骨格:開咬傾向(前歯が噛みにくいタイプ)歯並び:前歯が噛み合わない(開咬)+前歯の突出傾向 治療方法:上下左右の第1小臼歯(4番)を抜歯し、マウスピース型矯正装置を用い […]

年齢:7歳 女の子 お悩み:前歯が逆に噛んでいる(受け口) 状態:骨格:受け口傾向歯並び:前歯のかみ合わせが逆 治療方法:マウスピース型矯正 治療期間:3年 治療のポイント:・成長を利用して改善・機能(舌・呼吸)も同時に […]

【主訴】歯のガタガタ 【診断】叢生 【治療方法】マウスピース型(カスタムメイド)矯正歯科装置(インビザライン)※にて上下左右の4番を抜歯にて排列を行いました。右上大臼歯部のアップライトを実施しています。 マウスピース型矯 […]

【主訴】出っ歯、前歯がガタガタしている 【診断】叢生、過蓋咬合 【治療方法】上下両側第一小臼歯抜歯、ワイヤー治療期間3年間、上顎口蓋にTPA(トランスパラタルアーチ)を行いました。

【主訴】歯のガタガタ 【診断】叢生 【治療方法】マウスピース型(カスタムメイド)矯正歯科装置(インビザライン)※にて非抜歯にて排列を行いました。歯列の側方拡大とIPR(歯と歯の間のヤスリがけ)を実施しています。 マウスピ […]