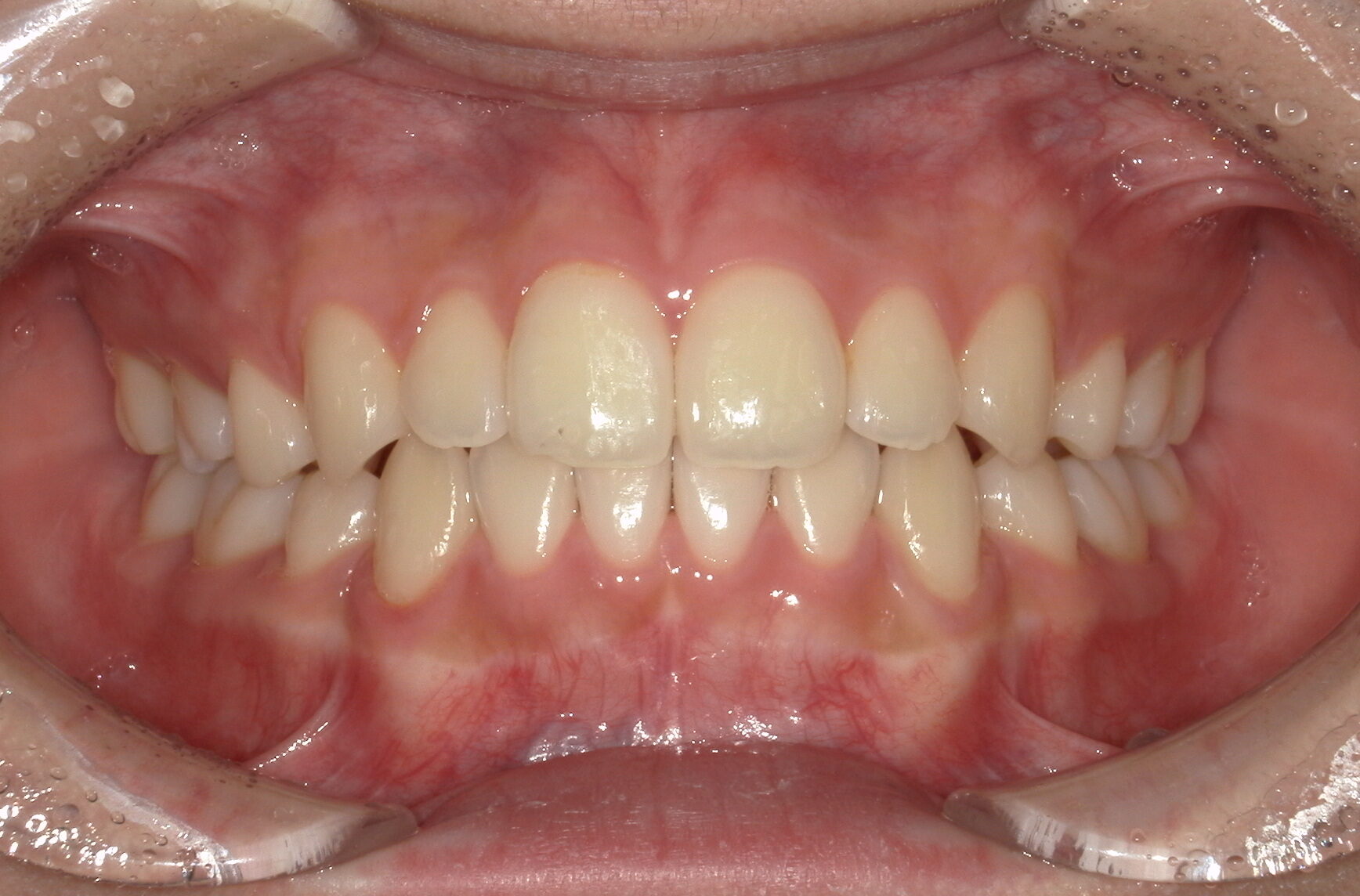
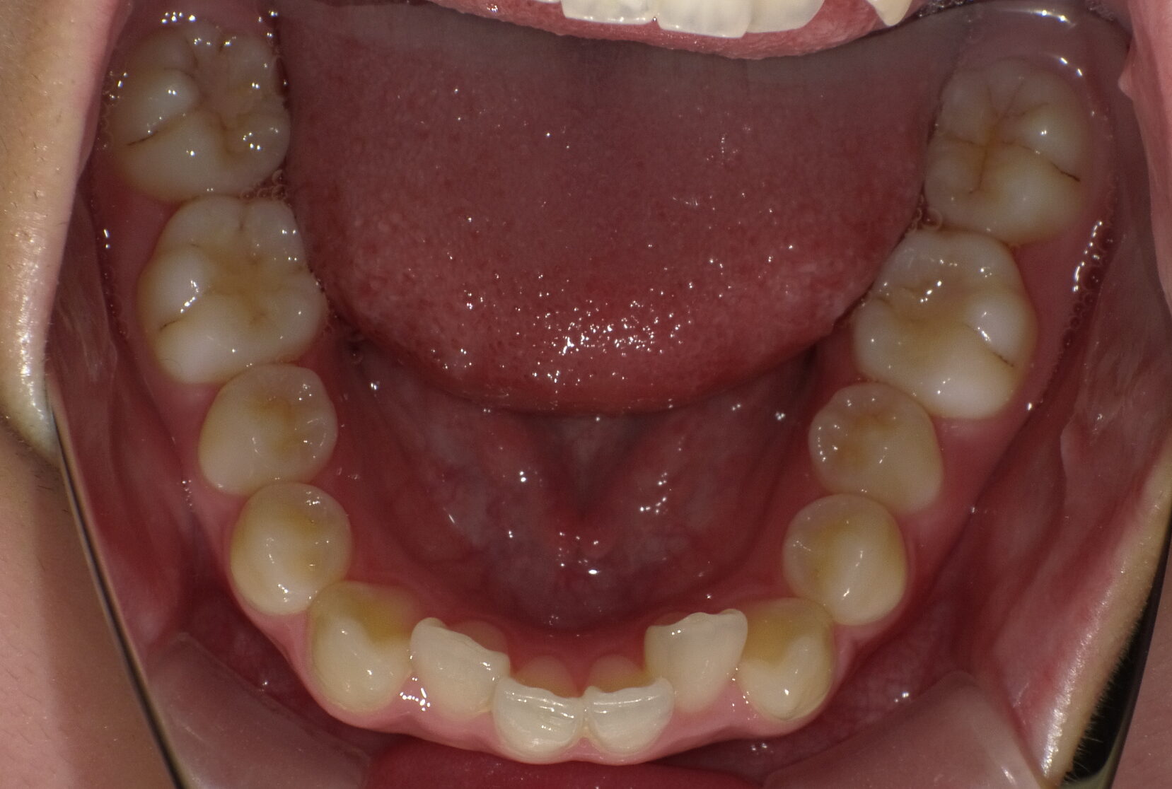
叢生 15歳女性
治療前

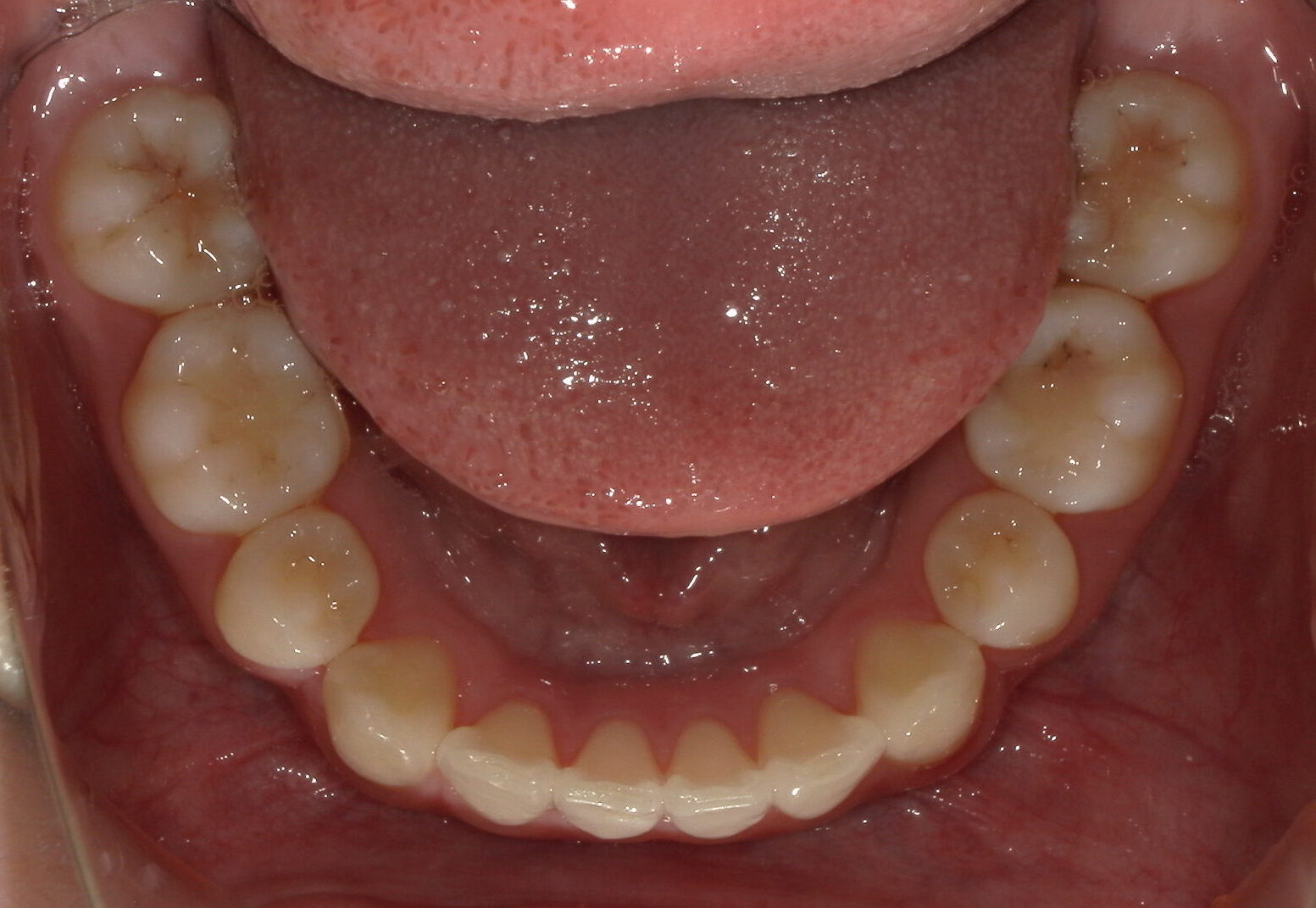
治療後

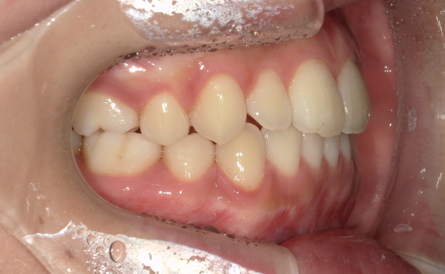
治療前

治療後

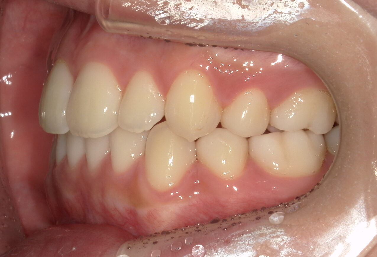
治療前

治療後

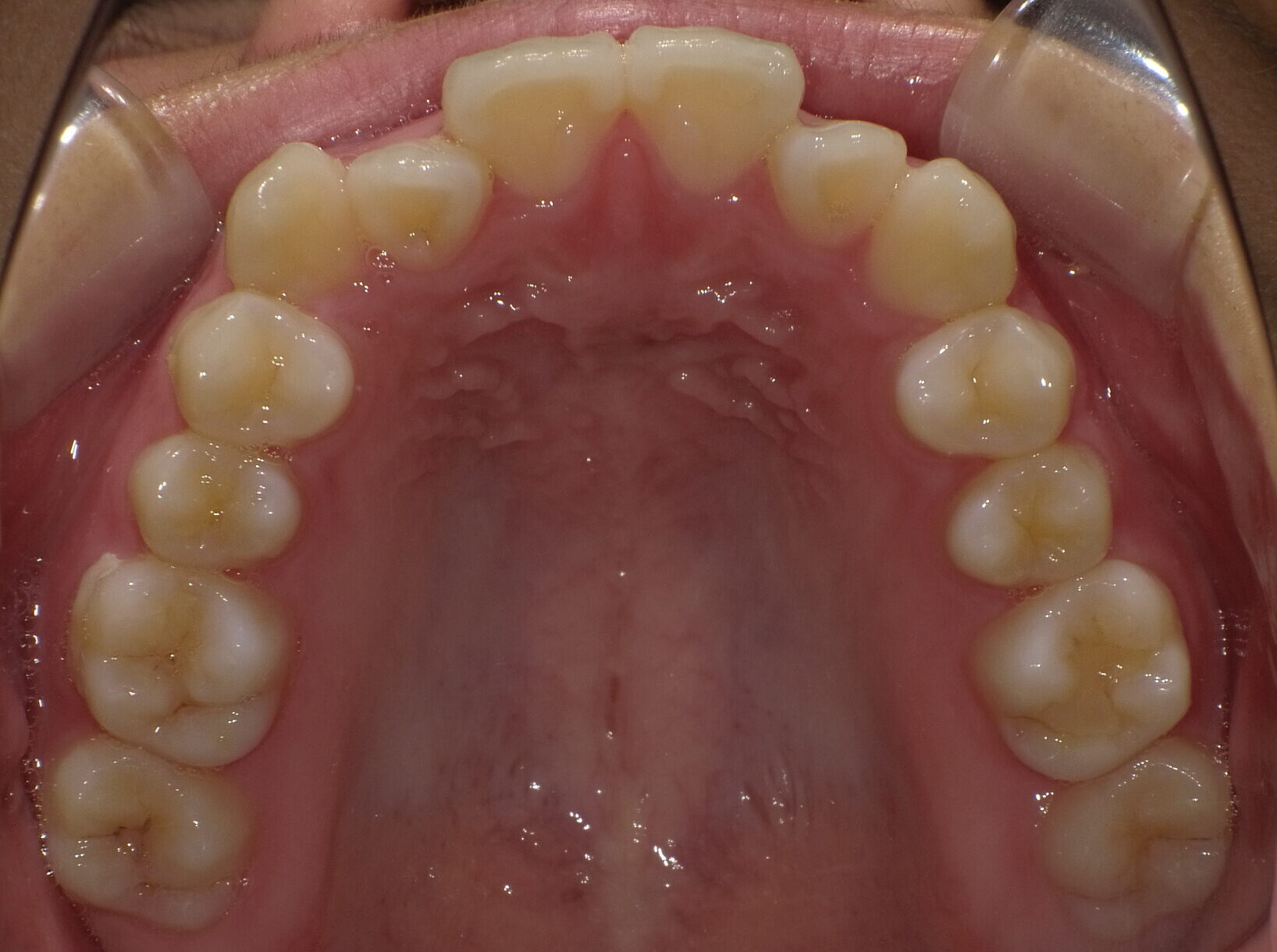
治療前

治療後

治療前

治療後

治療期間
通院回数
治療費
想定される副作用またはリスク
・歯根吸収
・歯の再移動(後戻り)
・むし歯や歯周病のリスク
・矯正装置による口内炎や粘膜の傷
・顎関節症の悪化
・アレルギー反応
・治療期間の延長
【主訴】歯のガタガタ
【診断】叢生
【治療方法】マウスピース型(カスタムメイド)矯正歯科装置(インビザライン)※にて上下左右の4番を抜歯にて排列を行いました。右上大臼歯部のアップライトを実施しています。
マウスピース型矯正装置(エンジェルアライナー、インビザライン)は医薬品医療機器等法(薬機法)の承認を受けていない未承認医薬品です。
- エンジェルアライナーは、エンジェルアライナー社の製品であり、エンジェルアライナージャパン社を介して入手しています。
- インビザラインは、インビザライン社の製品であり、インビザラインジャパン社を介して入手しています。
国内の承認医薬品等の有無
国内にもマウスピース型矯正装置として医薬品医療機器等法 (薬機法)の承認を受けているものは複数存在します。
諸外国における安全性に係る情報
マウスピース型矯正装置(インビザライン)は1998年に FDA(米国食品医薬品局)により医療機器として認証を受けています。
マウスピース型矯正装置(エンジェルアライナー、インビザライン)は完成物薬機法対象外の矯正歯科装置であり、承認薬品を対象とする医薬品副作用被害救済制度の対象外となる場合があります。