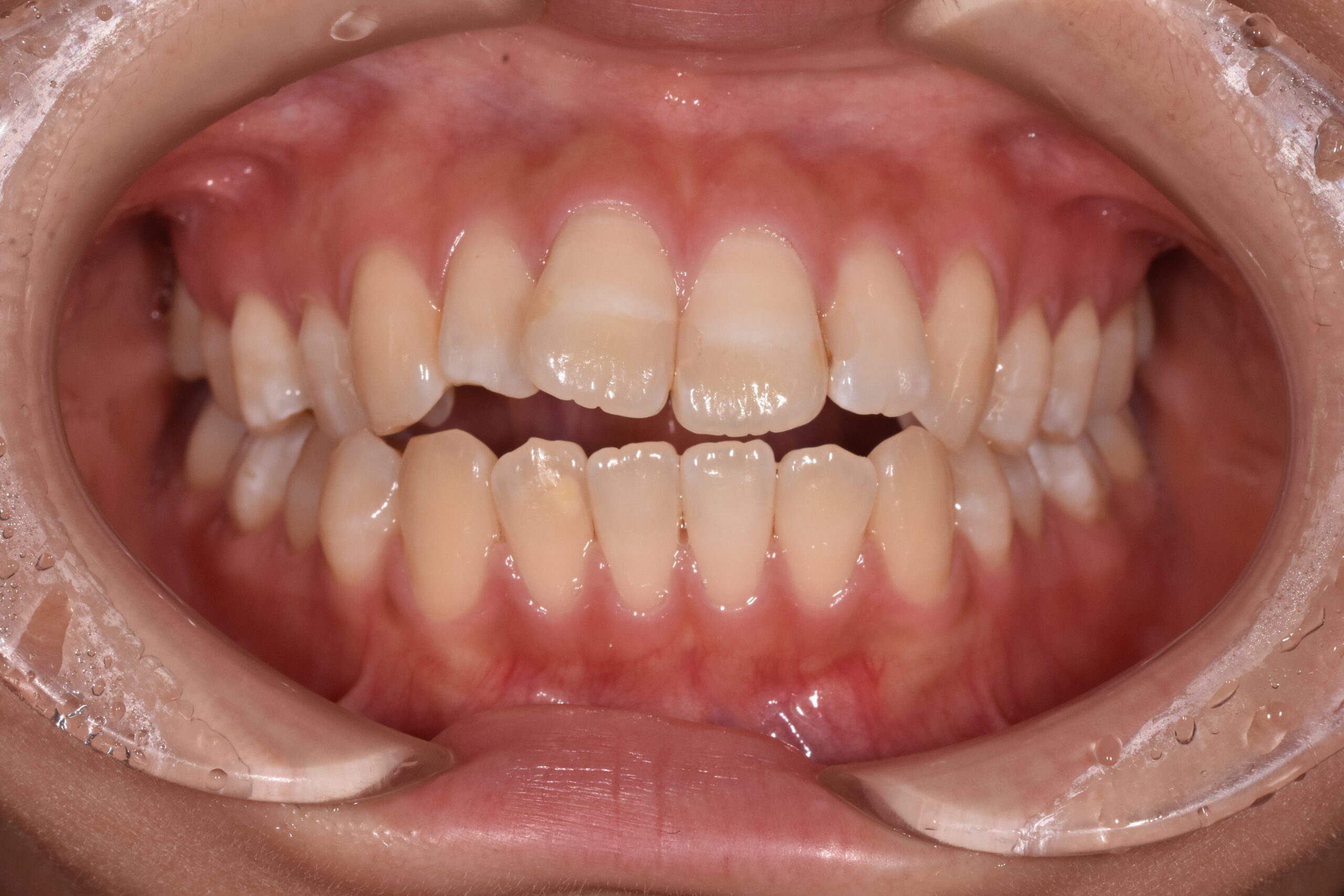
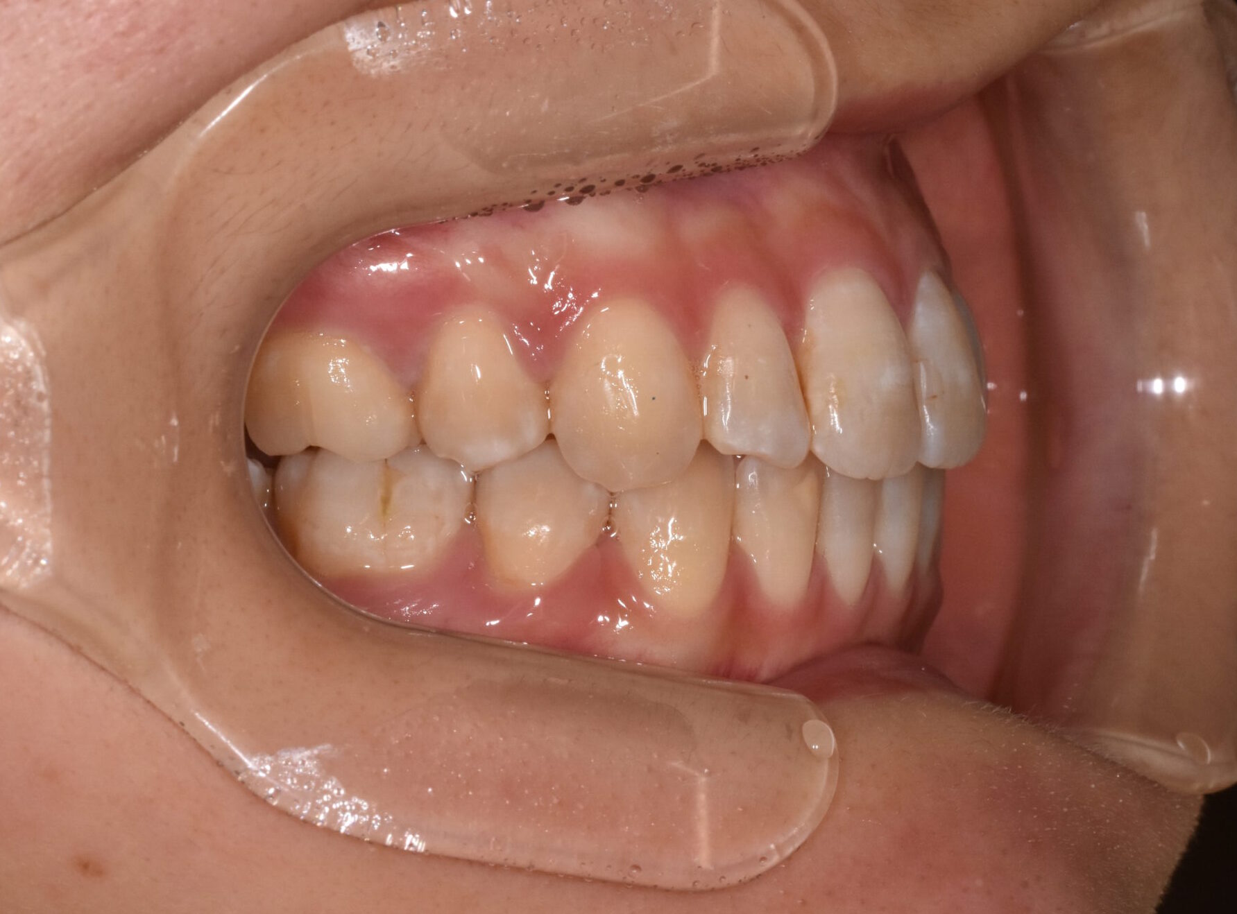
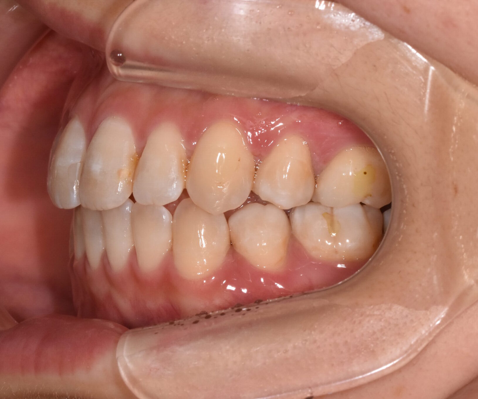
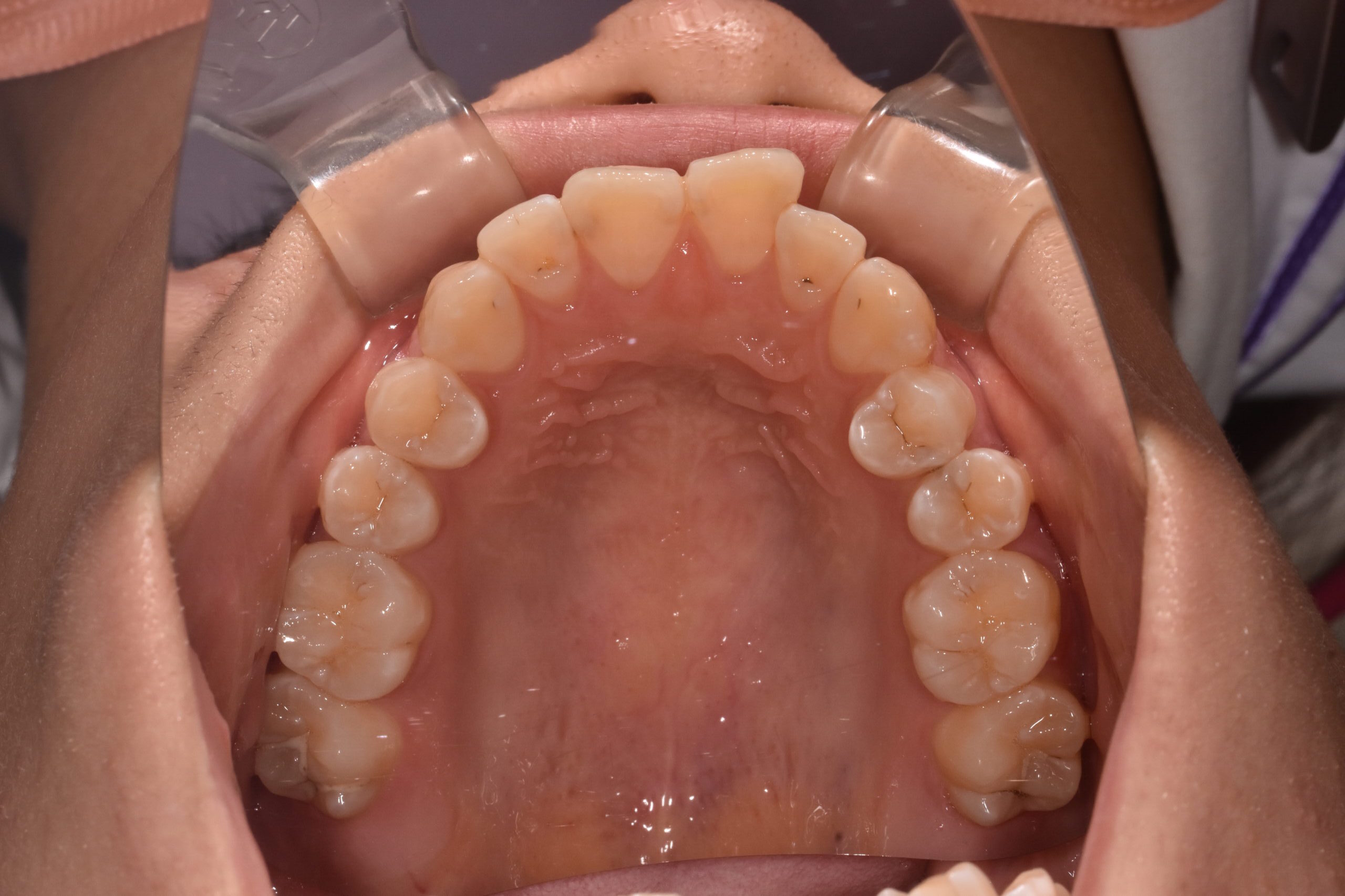
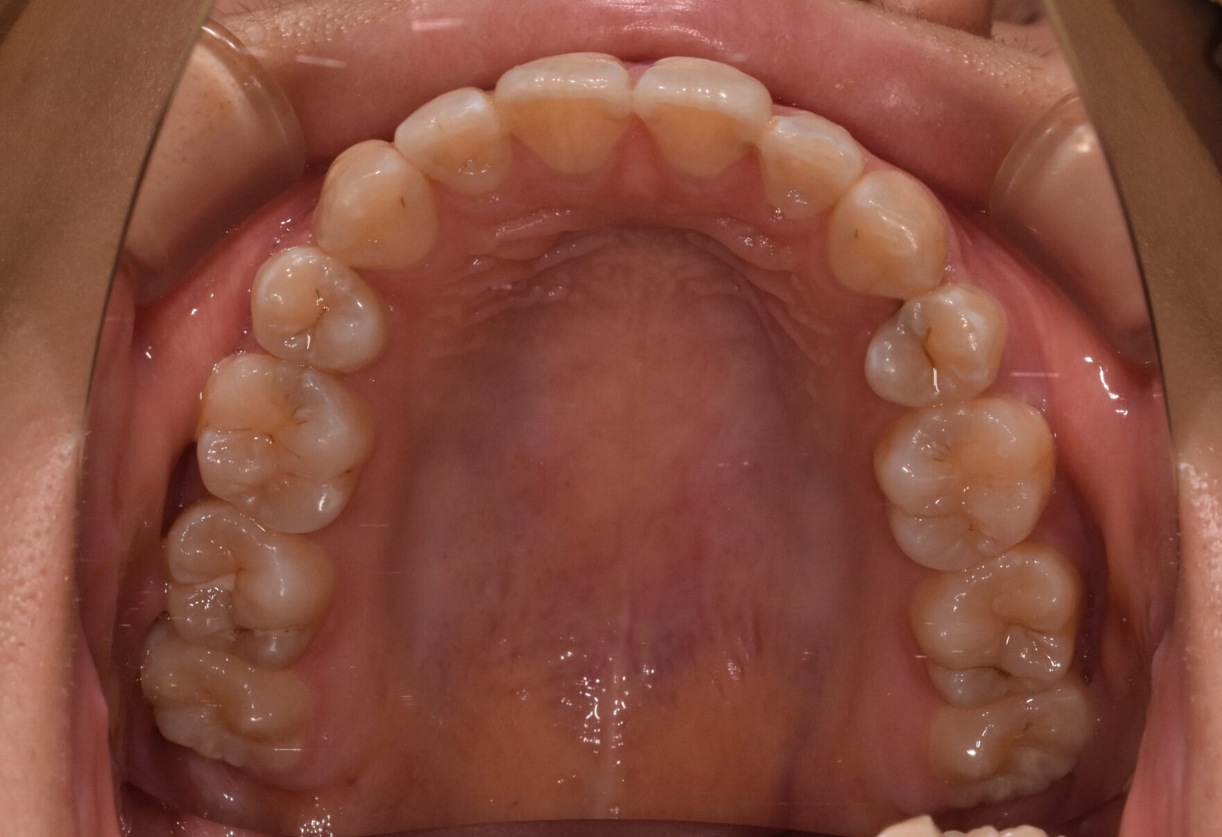
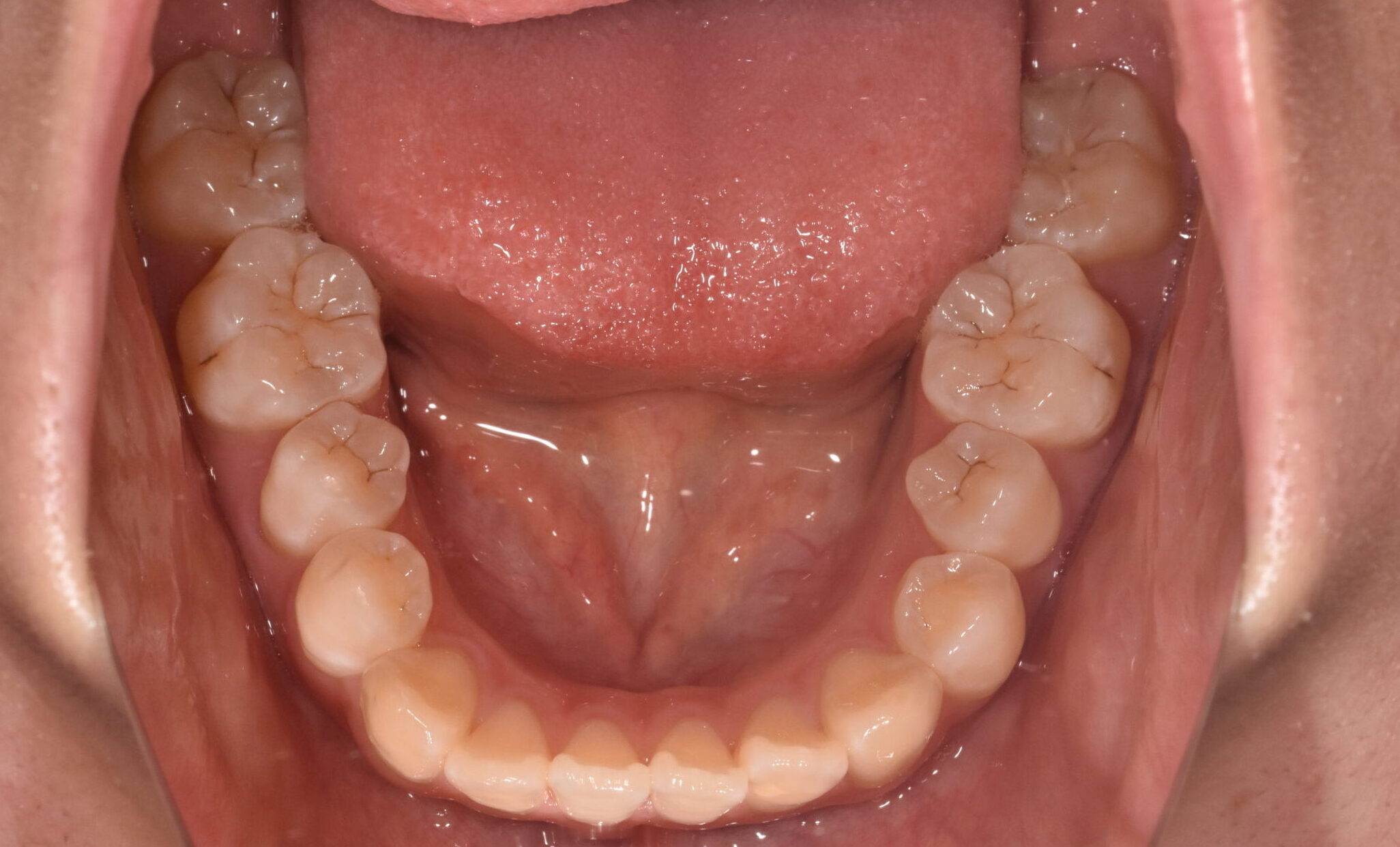
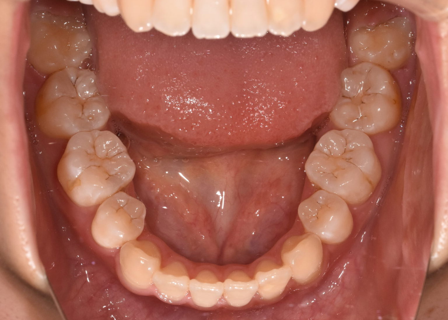
開咬 17歳 女性
治療前

治療後

治療前

治療後

治療前

治療後

治療前

治療後

治療前

治療後

治療期間
通院回数
治療費
想定される副作用またはリスク
・治療中に歯の痛みや違和感が出ることがあります
・歯ぐきが下がる(歯肉退縮)可能性があります
・歯の根が短くなる(歯根吸収)可能性があります
・抜歯に伴う一時的な違和感や腫れが出ることがあります
・マウスピースの装着時間が不足すると、歯が計画通りに動かないことがあります
・追加のマウスピース(再作製)が必要になる場合があります
・虫歯や歯周病のリスクが高まる場合があります(ケア不足の場合)
・かみ合わせが一時的に変化し、違和感を感じることがあります
・治療後に後戻りする可能性があります(特に舌のクセがある場合)
・骨格の影響により、理想的な改善に限界がある場合があります
お悩み:
前歯が噛み合わず、食べ物が噛みにくい
状態:
骨格:開咬傾向(前歯が噛みにくいタイプ)
歯並び:前歯が噛み合わない(開咬)+前歯の突出傾向
治療方法:
上下左右の第1小臼歯(4番)を抜歯し、マウスピース型矯正装置を用いて歯並びとかみ合わせの改善を行いました
治療期間:
2年
治療のポイント:
・抜歯によりスペースを確保し、前歯の位置と角度をコントロール
・マウスピース矯正により、見た目と快適さに配慮しながら治療
・奥歯の高さを調整し、前歯がしっかり噛むように改善
・舌のクセ(舌突出癖)にも配慮し、後戻りを予防
マウスピース型矯正装置(エンジェルアライナー、インビザライン)は医薬品医療機器等法(薬機法)の承認を受けていない未承認医薬品です。
- エンジェルアライナーは、エンジェルアライナー社の製品であり、エンジェルアライナージャパン社を介して入手しています。
- インビザラインは、インビザライン社の製品であり、インビザラインジャパン社を介して入手しています。
国内の承認医薬品等の有無
国内にもマウスピース型矯正装置として医薬品医療機器等法 (薬機法)の承認を受けているものは複数存在します。
諸外国における安全性に係る情報
マウスピース型矯正装置(インビザライン)は1998年に FDA(米国食品医薬品局)により医療機器として認証を受けています。
マウスピース型矯正装置(エンジェルアライナー、インビザライン)は完成物薬機法対象外の矯正歯科装置であり、承認薬品を対象とする医薬品副作用被害救済制度の対象外となる場合があります。