反対咬合 6歳7ヶ月 女の子
6歳7ヶ月 女の子
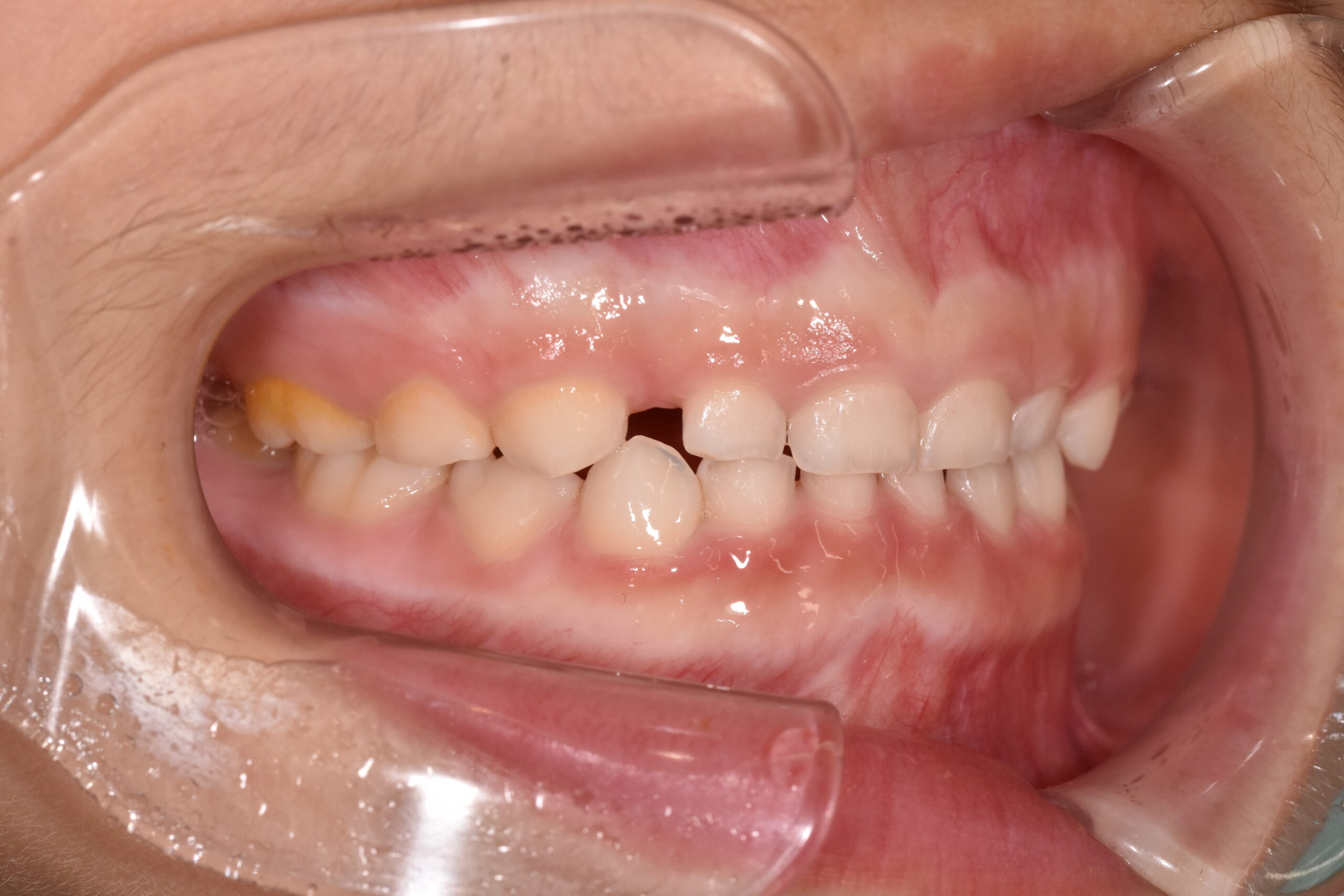
治療前

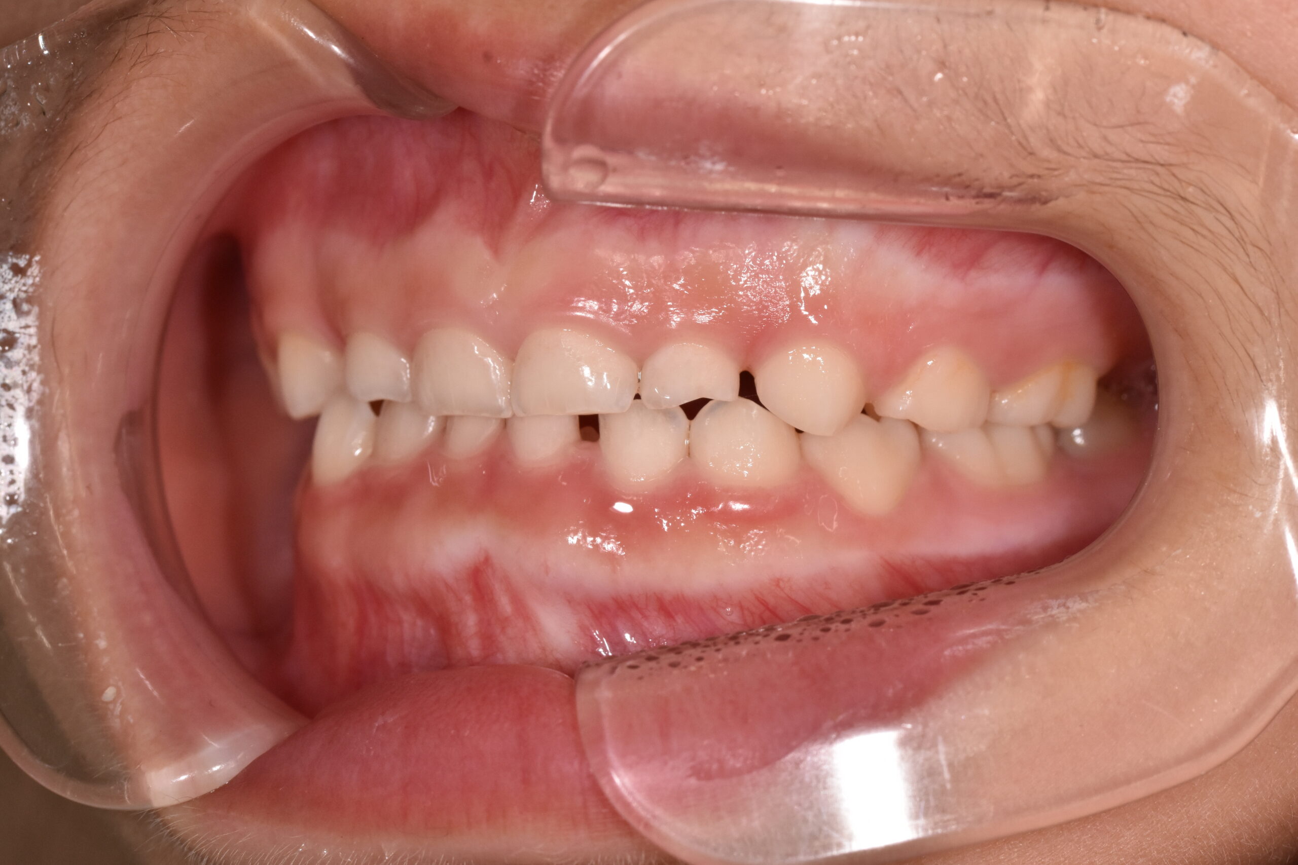
治療後

治療前

治療後

治療前

治療後

治療期間
5ヶ月
通院回数
5回
治療費
480,000円(税込)
想定される副作用またはリスク
・装置を十分に使用できない場合、効果が得られないことがあります
・成長の個人差により、予測通りに改善しないことがあります
・一時的にかみ合わせが変化し、違和感を感じることがあります
・歯の移動に伴い、痛みや違和感が出ることがあります
・虫歯や歯肉炎のリスクが高まる場合があります(ケア不足の場合)
・治療後に後戻りする可能性があります
・将来的に本格矯正(2期治療)が必要になる場合があります
・成長の個人差により、予測通りに改善しないことがあります
・一時的にかみ合わせが変化し、違和感を感じることがあります
・歯の移動に伴い、痛みや違和感が出ることがあります
・虫歯や歯肉炎のリスクが高まる場合があります(ケア不足の場合)
・治療後に後戻りする可能性があります
・将来的に本格矯正(2期治療)が必要になる場合があります
年齢:6歳7ヶ月 女の子
お悩み:
前歯が逆に噛んでいる(受け口)
状態:
骨格:受け口傾向(下あごが前に出やすい状態)
歯並び:前歯のかみ合わせが逆(反対咬合)
治療方法:
プレオルソ(機能的マウスピース型装置)を使用し、歯並びだけでなく舌の位置や呼吸などの機能改善も行いました
治療期間:
5ヶ月
治療のポイント:
・成長のタイミングを活かし、早期にかみ合わせを改善
・歯並びだけでなく、お口の機能(舌・呼吸)を整える
・将来的な骨格のズレの進行を抑えることを目的とした治療
・その後の交換期(永久歯への生え変わり)も継続してフォローを行います