反対咬合・叢生 7歳 女の子
7歳 女性
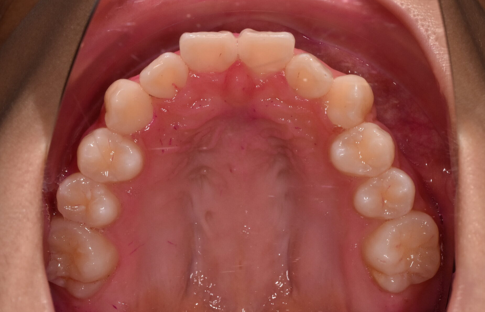
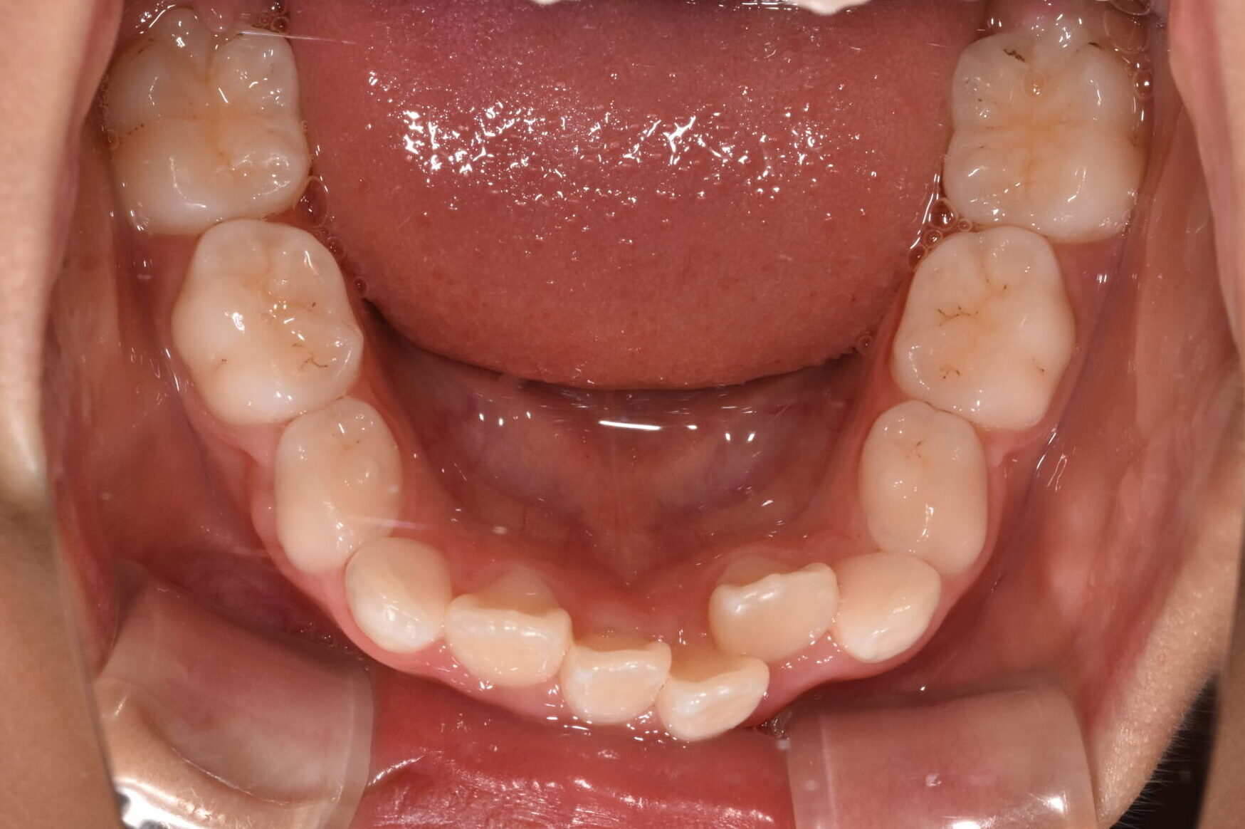
治療前

治療後

治療前

治療後

治療前

治療後

治療前

治療後

治療前

治療後

治療期間
3年
通院回数
38回
治療費
48,000円(税込)
想定される副作用またはリスク
・治療中に歯の痛みや違和感が出ることがあります
・歯ぐきが下がる(歯肉退縮)可能性があります
・歯の根が短くなる(歯根吸収)可能性があります
・かみ合わせが一時的に変化し、違和感を感じることがあります
・装置の使用状況や通院状況により、治療期間や結果に影響が出ることがあります
・虫歯や歯周病のリスクが高まる場合があります(ケア不足の場合)
・治療後に後戻りする可能性があります
・成長や体質の個人差により、予測通りに治療が進まないことがあります
・歯ぐきが下がる(歯肉退縮)可能性があります
・歯の根が短くなる(歯根吸収)可能性があります
・かみ合わせが一時的に変化し、違和感を感じることがあります
・装置の使用状況や通院状況により、治療期間や結果に影響が出ることがあります
・虫歯や歯周病のリスクが高まる場合があります(ケア不足の場合)
・治療後に後戻りする可能性があります
・成長や体質の個人差により、予測通りに治療が進まないことがあります
年齢:7歳 女の子
お悩み:
前歯が逆に噛んでいる(受け口)
状態:
骨格:受け口傾向
歯並び:前歯のかみ合わせが逆
治療方法:
マウスピース型矯正
治療期間:
3年
治療のポイント:
・成長を利用して改善
・機能(舌・呼吸)も同時にアプローチ
考えられるリスク・副作用:
・装置の使用状況により効果に差が出ることがあります
・成長の個人差により、将来的に追加治療が必要になる場合があります
・歯の痛みや違和感が出ることがあります
・後戻りの可能性があります