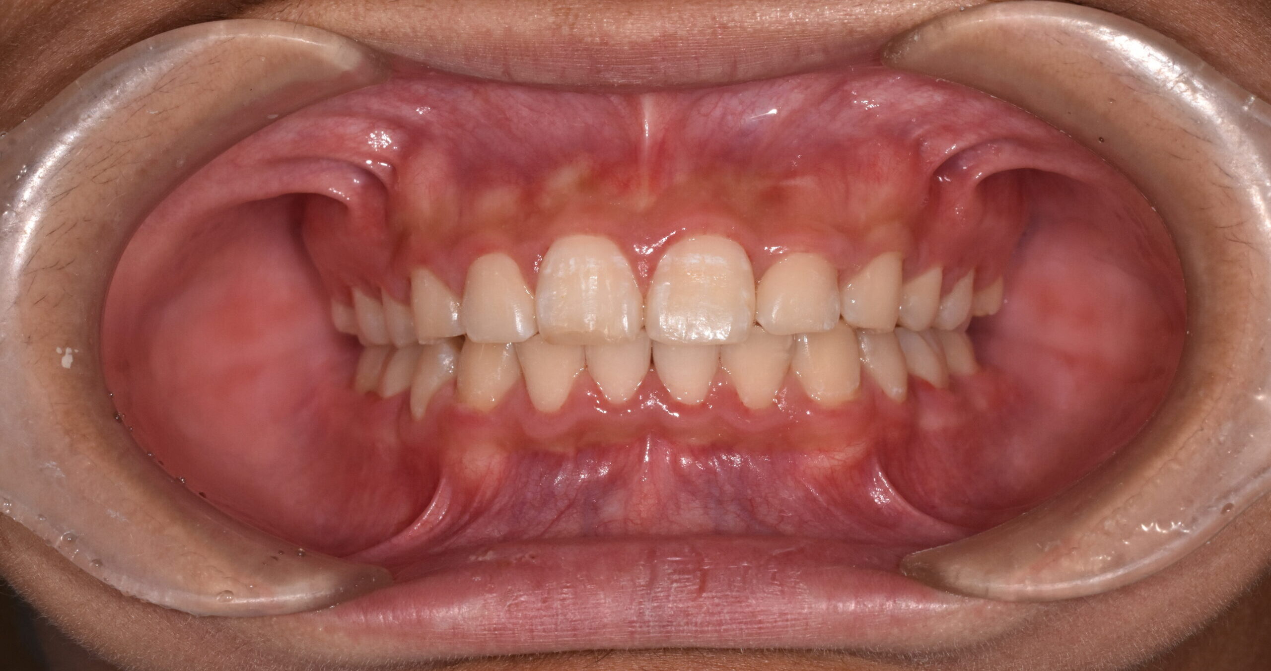
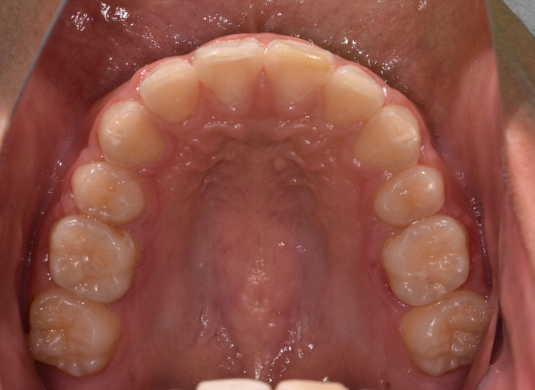
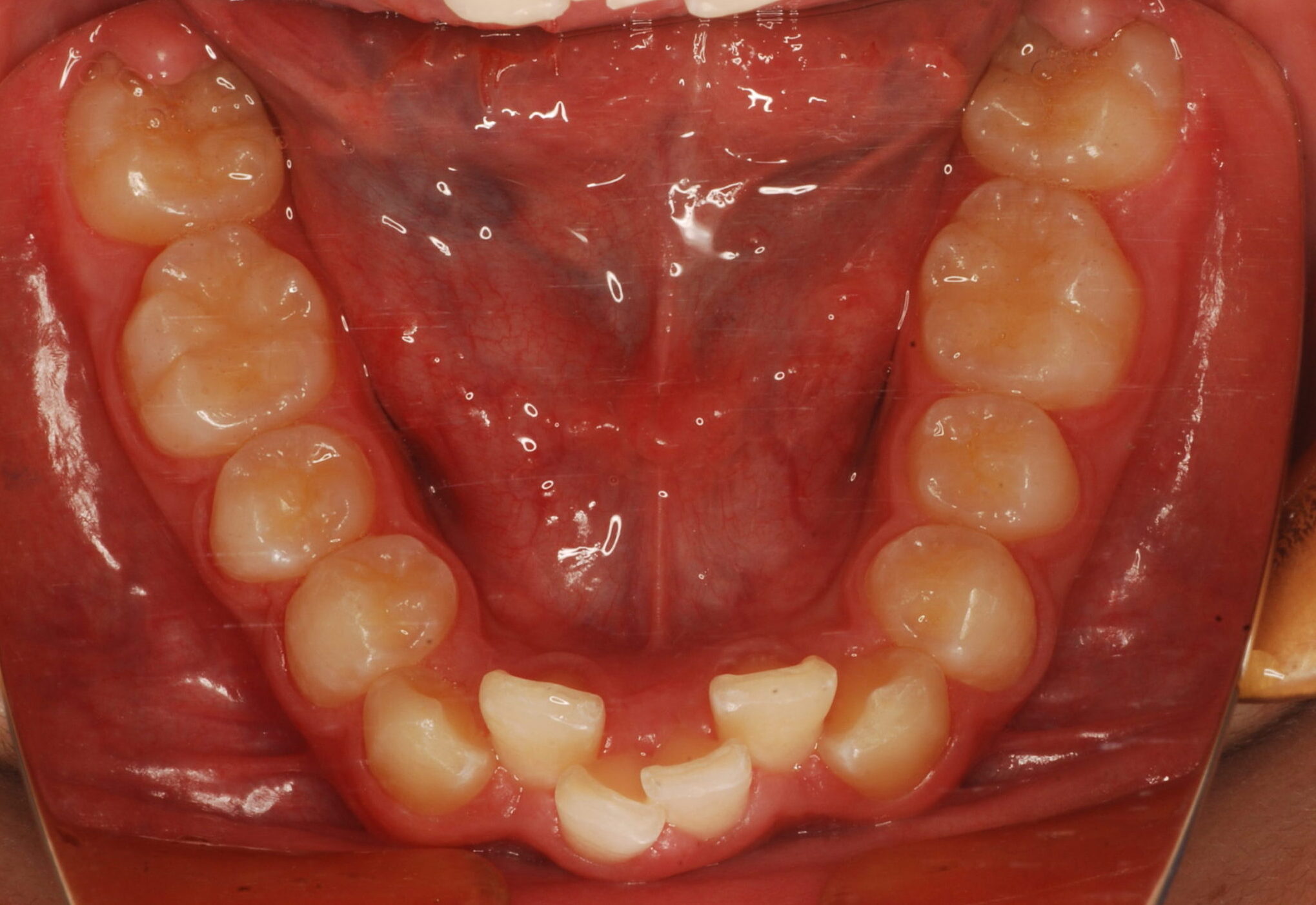
過蓋咬合・叢生 13歳男性
13歳9ヶ月 男性
治療前

治療後

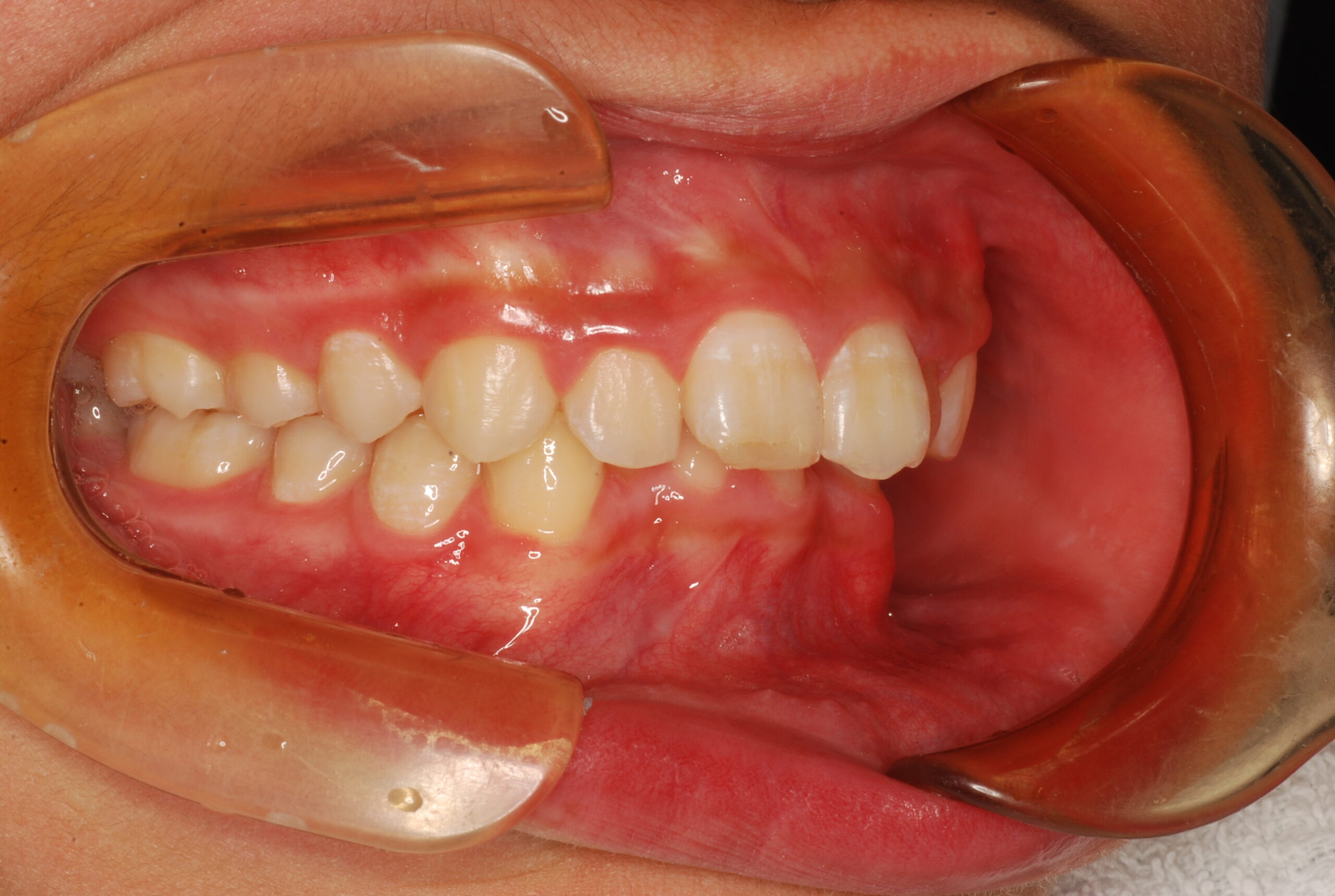
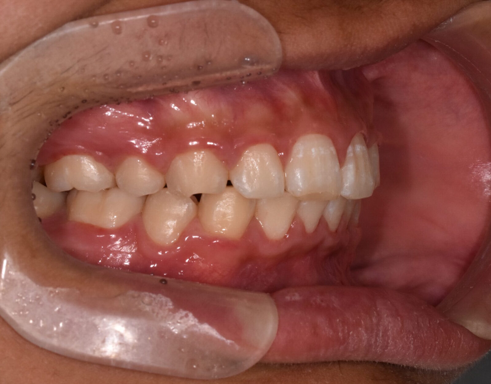
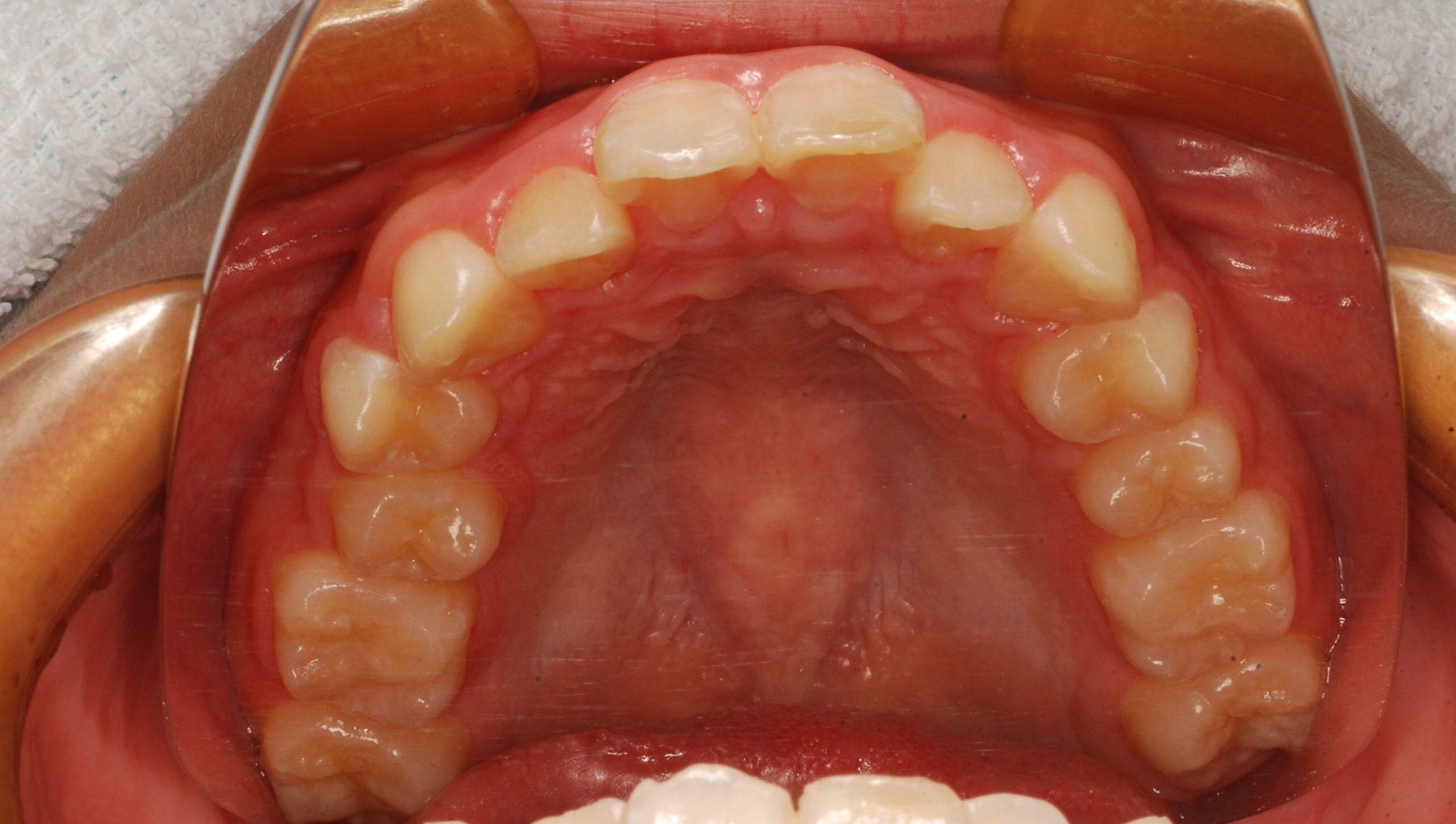
治療前

治療後

治療前

治療後

治療前

治療後

治療期間
3年
通院回数
30回
治療費
約820,000円(税別)
想定される副作用またはリスク
・痛みや不快感
・歯根吸収
・歯の再移動(後戻り)
・むし歯や歯周病のリスク
・矯正装置による口内炎や粘膜の傷
・顎関節症の悪化
・アレルギー反応
・治療期間の延長
・歯根吸収
・歯の再移動(後戻り)
・むし歯や歯周病のリスク
・矯正装置による口内炎や粘膜の傷
・顎関節症の悪化
・アレルギー反応
・治療期間の延長
【主訴】出っ歯、前歯がガタガタしている
【診断】叢生、過蓋咬合
【治療方法】上下両側第一小臼歯抜歯、ワイヤー治療期間3年間、上顎口蓋にTPA(トランスパラタルアーチ)を行いました。